SERVICES
Teeth Whitening

Everyone would like to have whiter, brighter teeth. We make an effort to dress well, take care of our hair, and put forth our best appearance. Our smile deserves the best as well.
Teeth bleaching or whitening is a process that makes a subtle and attractive change in your appearance without involving any dental work.
At Givens Family Dentistry we offer several dental whitening options such as ZOOM, DayWhite & NightWhite, and Crest Professional Whitening Strips as the preferred teeth whitening method.
ZOOM Whitening and it's rapid action allows you to leave the office with white teeth in 1 hour With the DayWhite, whitening you can successfully whiten your teeth in 7-14 days when you whiten both your upper and lower teeth simultaneousely using very short treatments (30-60 minutes) depending on your comfort. With this system, we make you custom tray to take home with the DayWhite gel.
You can make the whitening process even more effective by brushing (and flossing) away any food debris from your teeth before starting each treatment. Wiping the fronts of your teeth dry before inserting your bleaching tray is also a benefit.
Looking back, the dental profession has been whitening teeth for decades, using Hydrogen Peroxide (H2O2) and carbamide peroxide, a more stable agent which allows the bleaching agent to be absorbed more deeply into the tooth structure, allowing safe bleaching to be done at home.
Literally millions of people have had their teeth bleached this way, in home bleaching formulas using carbamide peroxide, and not one healthy tooth has ever been lost - a magnitude of safety rarely enjoyed by any cosmetic procedure.
The only possible downside to tooth whitening is occasional transient pulpal sensitivity. This is experienced by about 1 in 20 users (of all whitening brands). This sensitivity can be reduced through the use of ibuprofen or nearly any drug store tooth paste that includes fluoride as an ingredient.
Upon completion, your upper and lower teeth will have whitened a minimum of two shades. You will love your new whiter, brighter teeth, and will soon be using your whitened smile to express your happiness and self confidence.
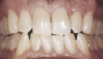
Before Whitening Procedure

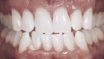
After Whitening
Procedure

Please call our office and speak with our Office Manager (Amy), for a consultation to see if you are a candidate for (Zoom/DayWhite/NightWhite) teeth bleaching. We will be happy to answer any questions you may have regarding teeth whitening or any other cosmetic dental treatment.
If you have any questions, please contact us at
(985) 747-8600